Clinic for Implant
&
Orthodontic Dentistry, procedures explained, offers, information,

Closing the Gap: Effective Orthodontic Solutions for Gaps Between Upper Front Teeth (Midline Diastema) in Worthing, West Sussex - By Dr Amir Mostofi DDS, Dip. (Ortho.), MSc (Implant).

Do you have a gap between your upper front teeth (midline diastema) and wonder if orthodontic treatment can help? Many people feel self-conscious about this common dental issue, but modern orthodontic solutions can effectively close the gap and enhance both function and aesthetics. Whether you prefer braces, clear aligners, or cosmetic treatments like bonding or veneers, our expert team in Worthing, West Sussex, offers tailored solutions to meet your needs. Discover the causes of these gaps, treatment options, and how to maintain a beautifully aligned smile. Book your free consultation today and take the first step towards a confident new smile!

Are you self-conscious about the gap between your upper front teeth (midline diastema)? This common dental concern can affect both appearance and confidence. Fortunately, modern orthodontic treatments offer effective solutions to close this gap and give you a beautifully aligned smile. If you’re in Worthing, West Sussex, and looking for expert orthodontic care, our clinic is here to help.

What Causes Gaps Between Upper Front Teeth?

A gap between the upper front teeth (midline diastema) can occur due to various reasons, including:

  • Genetics – If your family members have gaps in their teeth, you may inherit the same trait.
  • Oversized Labial Frenum – The tissue connecting your upper lip to your gums may extend between your front teeth, preventing them from coming together.
  • Mismatched Jaw and Tooth Size – When teeth are too small compared to the jawbone, spaces may appear between them.
  • Habits and Oral Health Issues – Thumb sucking, tongue thrusting, or gum disease can contribute to the development of a gap between the teeth.
front teeth gap cosmetic treatment

Why Should You Close the Gap?

While some people embrace their gap as a unique characteristic, others may feel self-conscious about it. Additionally, gaps between teeth can sometimes lead to oral health issues, including:

  • Misalignment of Surrounding Teeth – Extra space can cause other teeth to shift, leading to bite problems.
  • Difficulty Biting and Chewing – Gaps may affect how the teeth come together when eating.
  • Increased Risk of Food Getting Stuck and Plaque Build-up – Gaps create extra spaces where food particles can get trapped, leading to a higher risk of cavities and gum disease.
  • Speech Difficulties – Some people may develop a slight lisp due to improper tongue positioning.

Orthodontic Treatments to Close the Gap

At our Worthing-based orthodontic clinic, we provide customised treatment options to help close gaps between the upper front teeth (midline diastema) effectively:

1. Braces

Traditional metal braces or ceramic braces use gentle pressure over time to bring the teeth together. Braces remain one of the most reliable and permanent solutions for closing gaps between teeth. This method is especially effective for patients who have additional misalignment or bite issues.

2. Clear Aligners

For those looking for a more discreet treatment, Invisalign® clear aligners are an excellent alternative. These removable, nearly invisible trays gradually shift the teeth into alignment without the need for metal brackets or wires. Many patients in Worthing prefer Invisalign® because it allows them to maintain their confidence while undergoing treatment.

3. Dental Bonding or Veneers

For smaller gaps, cosmetic solutions like dental bonding or porcelain veneers may be an option. These treatments provide an instant aesthetic improvement but do not correct underlying alignment issues. Bonding is a quick and affordable option, while veneers offer a longer-lasting solution for those who want a flawless smile.

4. Frenectomy (If Necessary)

If an oversized labial frenum is the cause of your gap, a minor surgical procedure known as a frenectomy can help. This is often combined with orthodontic treatment to ensure long-term results. Without addressing the root cause, gaps may reopen even after orthodontic intervention.

How Long Does Treatment Take?

The duration of treatment depends on the method chosen and the severity of the gap:

  • Braces – Typically, 6 to 12 months.
  • Invisalign® – Around 6 to 12 months, depending on the case.
  • Dental Bonding – Completed in a single appointment.
  • Veneers – Requires two or more appointments.
  • Frenectomy – A short procedure followed by healing time, after which orthodontic treatment may be needed.

Maintaining Your Results

After your treatment is complete, maintaining the results is crucial. Retainers are often recommended to prevent teeth from shifting back into their previous positions. Our Worthing orthodontists will provide you with a custom retainer and guidance on how to wear it effectively.

Why Choose Our Worthing Orthodontic Clinic?

Choosing the right orthodontic provider is essential for achieving the best results. Here’s why patients trust us:

  • Expertise & Experience – Our team has years of experience in orthodontic treatments.
  • State-of-the-Art Technology – We use the latest equipment to provide precise and effective treatments.
  • Personalised Care – Each patient receives a tailored treatment plan to ensure the best possible outcome.
  • Convenient Location in Worthing – Our clinic is easily accessible to residents in Worthing and the surrounding areas.
  • Free Orthodontic Consultations – We offer complimentary consultations so you can explore your options without commitment.

Start Your Orthodontic Journey in Worthing

If you’re looking for professional orthodontic treatment in Worthing, West Sussex, our experienced team is ready to help you achieve a confident, gap-free smile. We offer free orthodontic consultations, allowing you to explore your treatment options and receive a personalised plan tailored to your needs.

Contact us today at Clinic for Implant & Orthodontic Dentistry in Worthing to schedule your appointment. Let’s transform your smile together!

📞 Call us at: 01903-821822
🌍 Visit our website: dental-worthing.co.uk
📍 Location: 7 Chapel Road, Worthing, West Sussex, BN11 1EG

Read More

Fixed Retainers: What They Are, How Long They Last, and How to Care for Them (Worthing)

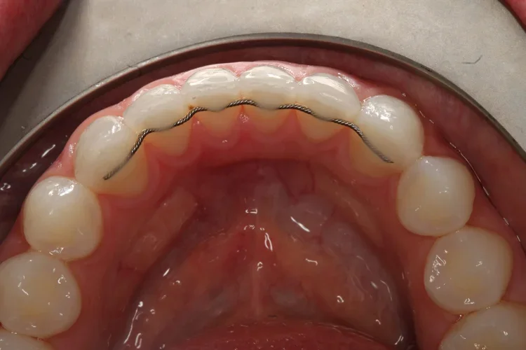
A fixed retainer (also called a bonded or permanent retainer) is a thin wire that is attached to the back of your front teeth after orthodontic treatment. Its job is simple: help stop teeth drifting back out of alignment over time.

At Clinic for Implant & Orthodontic Dentistry in Worthing, we regularly fit, repair and replace fixed retainers, and we also advise on the best long-term retention plan (often a fixed retainer plus a removable retainer at night).

Why do I need a retainer after braces?

Teeth naturally want to move throughout life. After orthodontic treatment, the fibers and bone around the teeth take time to stabilise, and even years later teeth can drift slightly.

A retainer helps maintain the result you invested in. In many cases, long-term (often indefinite) retention is recommended — especially for the lower front teeth, which commonly relapse.

An example of a fixed retainer before fitting 

An example of a fixed retainer before fitting 

What is a fixed retainer?

A fixed retainer is usually a smooth wire bonded behind the front teeth (commonly canine-to-canine). It is not visible when you smile and doesn’t need to be removed.

Common types:

  • Straight wire bonded to several teeth

  • Braided wire (more flexible)

  • Bonded to each tooth with small composite “pads”

The best design depends on your bite, tooth shape, hygiene ability, and whether you grind your teeth.

Pros and cons of fixed retainers:

Benefits:

Works 24/7 (no forgetting to wear it)

Discreet (hidden behind the teeth)

Excellent at preventing front-tooth drift


Possible downsides:

Cleaning requires more effort (you must clean between teeth carefully)

The wire or bonding can occasionally come loose

Calculus/tartar can build up faster if cleaning isn’t thorough

With good hygiene and regular maintenance, most patients do very well with fixed retainers.


How long do fixed retainers last?

Fixed retainers can last many years, but they are not “fit and forget”. Longevity depends on:

  • Your bite (heavy bite can stress the wire)

  • Teeth grinding/clenching

  • Diet habits (hard foods can dislodge bonding)

  • Oral hygiene and professional cleaning


Some retainers last 10+ years; others need repair sooner. The key is to catch problems early.


Signs your fixed retainer needs attention

Contact us if you notice:

  1. The wire feels sharp or “lifted”

  2. One part is loose, even slightly

  3. A tooth feels like it’s starting to move

  4. Floss keeps shredding or getting stuck

  5. You can see the bonding has chipped or cracked

  6. A small issue is usually quick to fix. Leaving it can allow teeth to drift.

How to clean around a fixed retainer?

Good cleaning is essential to prevent gum inflammation and tartar build-up.

Daily tips

Brush twice daily with fluoride toothpaste

Use interdental brushes (often the easiest option)

Use superfloss or a floss threader to clean under the wire

Consider a water flosser as an extra tool (not a replacement for brushing)


Professional hygiene

If you have a fixed retainer, regular hygiene appointments help keep the gumline healthy and reduce tartar around the wire.


Fixed retainer repair: what happens?

If a retainer comes loose, we first check:

  1. Which tooth/teeth are affected

  2. Whether any teeth have already shifted

  3. Your bite, to reduce the risk of repeat breakage

  4. Repair options

  5. Re-bond the loose section (common and quick)

  6. Replace the wire if it’s distorted or repeatedly failing

  7. Adjust the retainer design if bite forces are causing issues


If teeth have moved, we’ll discuss the best way to regain alignment (sometimes minor orthodontic refinement is needed, but often it can be avoided if caught early).

Frequently asked questions:

Can a fixed retainer break without me noticing? Yes. Sometimes a small bond fails but the wire stays in place. That’s why regular checks (and paying attention to flossing changes) are important.

Should I still wear a removable retainer? Often, yes — especially at night. Many orthodontic plans use both for the most stable long-term result.

Does removing a fixed retainer hurt? No. Removal is usually straightforward and we clean/polish the tooth surface afterwards.


What foods should I avoid? Very hard foods (biting into crusty bread, nuts, ice, hard sweets) can increase the chance of breakage.


Can I have a fixed retainer if I grind my teeth? Yes, but you may also need a night guard, and we may recommend a retainer design that tolerates higher forces.


Book a retainer check or repair in Worthing

If your fixed retainer is loose, uncomfortable, or you’re worried your teeth are moving, contact Clinic for Implant & Orthodontic Dentistry in Worthing. We can assess the retainer, advise on the best retention plan, and repair or replace it where needed.

Read More