Clinic for Implant
&
Orthodontic Dentistry, procedures explained, offers, information,

Amir Mostofi Amir Mostofi

Implant Procedure Step 2 - Placing the Implant Part 1

This is the stage that the actual implant placement will take place. This can be from a week after the investigation to a few months (if there has been an extraction).

This is quite a lenghty appointment. Usually, we will book an implant for 3 hours and it takes 30 minutes to set up for the procedure. However, don't be put off by the length of time that the appointment is sometimes it can take a much shorter time it is just given to ensure there is no rush. The procedure is a very stop start procedure. This means that the implantologist will work a little then stop for a bit; possibly to take x-rays or prepare for the next stage, and then continue to work.

During the placement the Implantologist will start off by creating a space for the implant to be placed into. This means that the implantologist will begin with a pilot drill to give a starting point as to where the implant will be placed. If a surgical guide was made then this would be used to accurately place the pilot hole.

Read More
Amir Mostofi Amir Mostofi

Implant Procedure Step 1 - Investigation

The initial stage for having an implant done is the investigation. This stage is where the implantologist will go through options with you, take x-rays and photographs and start to plan exactly where the implants will be placed.

During this stage sometimes the implantologist will request that you have a 'surgical guide' made. This is like a denture that is clear and has holes drilled into it. This assists the implantologist when placing the implants to improve accuracy.

They may also request that you have a CBCT scan done. This allows them to use special programs on their computers to plan and place implants. This means that they have an even better idea of the best place to insert the implant to ensure the highest success rate.

Read More

Fixed Retainers: What They Are, How Long They Last, and How to Care for Them (Worthing)

A fixed retainer (also called a bonded or permanent retainer) is a thin wire that is attached to the back of your front teeth after orthodontic treatment. Its job is simple: help stop teeth drifting back out of alignment over time.

At Clinic for Implant & Orthodontic Dentistry in Worthing, we regularly fit, repair and replace fixed retainers, and we also advise on the best long-term retention plan (often a fixed retainer plus a removable retainer at night).

Why do I need a retainer after braces?

Teeth naturally want to move throughout life. After orthodontic treatment, the fibers and bone around the teeth take time to stabilise, and even years later teeth can drift slightly.

A retainer helps maintain the result you invested in. In many cases, long-term (often indefinite) retention is recommended — especially for the lower front teeth, which commonly relapse.

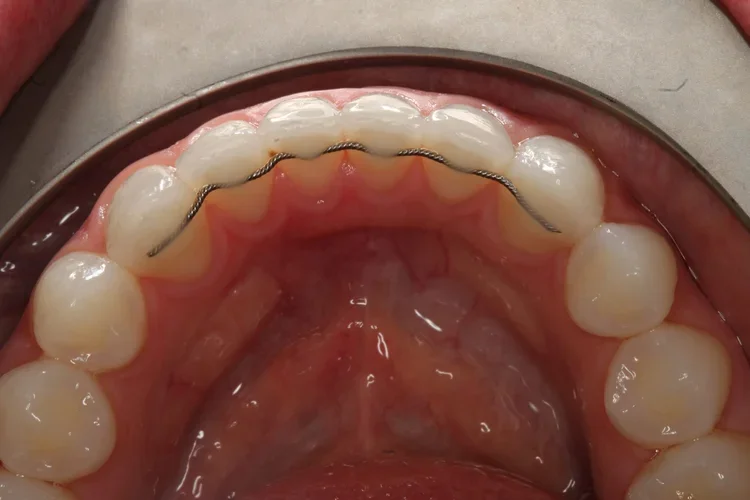
An example of a fixed retainer before fitting 

An example of a fixed retainer before fitting 

What is a fixed retainer?

A fixed retainer is usually a smooth wire bonded behind the front teeth (commonly canine-to-canine). It is not visible when you smile and doesn’t need to be removed.

Common types:

  • Straight wire bonded to several teeth

  • Braided wire (more flexible)

  • Bonded to each tooth with small composite “pads”

The best design depends on your bite, tooth shape, hygiene ability, and whether you grind your teeth.

Pros and cons of fixed retainers:

Benefits:

Works 24/7 (no forgetting to wear it)

Discreet (hidden behind the teeth)

Excellent at preventing front-tooth drift


Possible downsides:

Cleaning requires more effort (you must clean between teeth carefully)

The wire or bonding can occasionally come loose

Calculus/tartar can build up faster if cleaning isn’t thorough

With good hygiene and regular maintenance, most patients do very well with fixed retainers.


How long do fixed retainers last?

Fixed retainers can last many years, but they are not “fit and forget”. Longevity depends on:

  • Your bite (heavy bite can stress the wire)

  • Teeth grinding/clenching

  • Diet habits (hard foods can dislodge bonding)

  • Oral hygiene and professional cleaning


Some retainers last 10+ years; others need repair sooner. The key is to catch problems early.


Signs your fixed retainer needs attention

Contact us if you notice:

  1. The wire feels sharp or “lifted”

  2. One part is loose, even slightly

  3. A tooth feels like it’s starting to move

  4. Floss keeps shredding or getting stuck

  5. You can see the bonding has chipped or cracked

  6. A small issue is usually quick to fix. Leaving it can allow teeth to drift.

How to clean around a fixed retainer?

Good cleaning is essential to prevent gum inflammation and tartar build-up.

Daily tips

Brush twice daily with fluoride toothpaste

Use interdental brushes (often the easiest option)

Use superfloss or a floss threader to clean under the wire

Consider a water flosser as an extra tool (not a replacement for brushing)


Professional hygiene

If you have a fixed retainer, regular hygiene appointments help keep the gumline healthy and reduce tartar around the wire.


Fixed retainer repair: what happens?

If a retainer comes loose, we first check:

  1. Which tooth/teeth are affected

  2. Whether any teeth have already shifted

  3. Your bite, to reduce the risk of repeat breakage

  4. Repair options

  5. Re-bond the loose section (common and quick)

  6. Replace the wire if it’s distorted or repeatedly failing

  7. Adjust the retainer design if bite forces are causing issues


If teeth have moved, we’ll discuss the best way to regain alignment (sometimes minor orthodontic refinement is needed, but often it can be avoided if caught early).

Frequently asked questions:

Can a fixed retainer break without me noticing? Yes. Sometimes a small bond fails but the wire stays in place. That’s why regular checks (and paying attention to flossing changes) are important.

Should I still wear a removable retainer? Often, yes — especially at night. Many orthodontic plans use both for the most stable long-term result.

Does removing a fixed retainer hurt? No. Removal is usually straightforward and we clean/polish the tooth surface afterwards.


What foods should I avoid? Very hard foods (biting into crusty bread, nuts, ice, hard sweets) can increase the chance of breakage.


Can I have a fixed retainer if I grind my teeth? Yes, but you may also need a night guard, and we may recommend a retainer design that tolerates higher forces.


Book a retainer check or repair in Worthing

If your fixed retainer is loose, uncomfortable, or you’re worried your teeth are moving, contact Clinic for Implant & Orthodontic Dentistry in Worthing. We can assess the retainer, advise on the best retention plan, and repair or replace it where needed.

Read More
Amir Mostofi Amir Mostofi

Essix Retainers

These have the same function as the Hawley retainer to ensure the treatment of braces in not reversed after they are removed.

However, these are usually favoured due to them being made of a clear plastic and are more aesthetically pleasing.

They also cover the entire arch of the teeth not just portions like other retainers.

An example of an Essix retainer

An example of an Essix retainer

Read More
Amir Mostofi Amir Mostofi

Hawley Retainers

The first that I would like to have a look at is the Hawley retainer.

This retainer is the most well-known retainer. They are usually made of an acrylic base with a bendable wire that will surround the front teeth to correct them.

It was named after its inventor Dr Charles A. Hawley.

It is used to ‘tweak your teeth and keep them in place so the procedure is not reversed after braces have been removed.

An example of a Hawley retainer

An example of a Hawley retainer

Read More
Amir Mostofi Amir Mostofi

Orthodontic Retainers: Types, How Long to Wear Them, and How to Care for Them (Worthing)

After braces or clear aligners, a retainer is what keeps your teeth in their new position. Teeth can drift throughout life, and retention is the reason your orthodontic result stays stable long-term. At Clinic for Implant & Orthodontic Dentistry in Worthing, we provide retainer fitting, replacement and repair, and we advise on a retention plan that suits your bite, lifestyle and oral hygiene. In many cases, long-term (often indefinite) retainer wear is recommended.

Why are retainers so important?

  • Once teeth have been moved, the surrounding fibres and bone need time to stabilise. Even after that, teeth can still shift due to:

  • Natural ageing changes

  • Bite forces and chewing patterns

  • Teeth grinding/clenching

  • Wisdom tooth pressure (in some cases)

  • Gum disease or bone loss

  • A retainer helps prevent relapse and protects the time and money you invested in orthodontic treatment.

Types of orthodontic retainers:

1) Clear removable retainers (Essix / Vivera-style)

These are thin, clear plastic retainers that fit over the teeth.

Pros

  • Very discreet

  • Comfortable for many patients

  • Good at holding alignment when worn consistently

Cons

  • Can crack or wear over time

  • Can distort with heat (never use hot water)

  • Can be lost if wrapped in tissue/left in pockets

Essix retainer , Removable clear retainer

2) Hawley retainers (acrylic + wire)

A traditional removable retainer with an acrylic base and a front wire.

Pros

  • Durable and adjustable

  • Some patients find they last longer than clear retainers

  • Easier to repair in certain situations

Cons

  • More visible than clear retainers

  • Can feel bulkier at first

3) Fixed retainers (bonded retainers)

A wire bonded behind the front teeth (commonly canine-to-canine).

Pros

  • Works 24/7 (no forgetting)

  • Hidden behind the teeth

  • Excellent for preventing front tooth relapse

Cons

  • Requires careful cleaning

  • Can occasionally debond or break

  • Needs monitoring at check-ups

Many patients have a combination: fixed retainer + removable retainer at night.

Fixed Retainer

How long do I need to wear my retainer?

Retention is very individual, but a common approach is:

Immediately after treatment

  • Often full-time wear for a period (e.g., 2–3 months), removing only for meals and cleaning (follow your clinician’s plan).

Long-term

  • Usually night-time wear indefinitely (for removable retainers).

  • If you stop wearing retainers completely, even years later, teeth can move.

If you’re unsure what your plan should be, we can assess your bite and advise a realistic long-term schedule.

Signs your retainer needs attention

Contact us if:

  • Your retainer feels tight or doesn’t fit (early sign of tooth movement)

  • A fixed retainer feels sharp or partially loose

  • Your clear retainer is cracked, worn, or has rough edges

  • You’ve lost your retainer

  • Teeth are visibly drifting or contacts feel different

Early action usually prevents bigger relapse.

How to clean retainers properly:

Cleaning clear retainers

  • Rinse with cool water after removal

  • Brush gently with a soft toothbrush (no abrasive toothpaste)

  • Use retainer cleaning tablets occasionally (follow instructions)

  • Avoid hot water (heat can warp the plastic)

Cleaning Hawley retainers

  • Brush daily with a soft brush and mild soap

  • Avoid soaking in very hot water

  • Keep away from pets (they often chew retainers)

Cleaning around a fixed retainer

  • Brush twice daily with fluoride toothpaste

  • Use inter dental brushes and/or super floss under the wire

  • Consider a water floss as an additional tool

  • Regular hygiene visits help reduce tartar around the wire

Retainer replacement and repair in Worthing , If you lose a removable retainer

We can usually make a replacement. The sooner you replace it, the less chance of teeth shifting.

If a fixed retainer comes loose

We’ll check:

  • Which teeth are affected

  • Whether any movement has already started

  • Your bite, to reduce repeat breakage

Options include re-bonding, replacing the wire, or adjusting the design if bite forces are contributing.

If your retainer no longer fits

This can mean teeth have already moved. Depending on the amount of movement, we may be able to:

  • Remake the retainer if alignment is still acceptable

  • Provide short-term orthodontic refinement if relapse is more significant

Frequently asked questions

Can I switch from a fixed retainer to a removable retainer (or vice versa)? Often yes. It depends on your bite, hygiene, and relapse risk. We can advise after an assessment.

Do I need retainers after Invisalign/clear aligners? Yes — retention is essential after aligners, just like braces.

How many retainers should I have? Many patients choose a spare removable retainer to reduce risk if one is lost or broken.

Can retainers cause bad breath? They can if not cleaned properly. Daily cleaning and regular dental hygiene solves most issues.

I grind my teeth — will that damage my retainer? Grinding can wear clear retainers faster and stress fixed retainers. A night guard may be recommended in some cases.

Book a retainer check, repair or replacement

If you need a new retainer, your fixed retainer is loose, or you’re worried your teeth are moving, contact Clinic for Implant & Orthodontic Dentistry in Worthing. We’ll assess your retention needs and advise on the most stable long-term plan.

Read More
Amir Mostofi Amir Mostofi

Dental crowns in Worthing: Types, costs, process and aftercare

If you have a tooth that is cracked, heavily filled, worn down, or has had a root canal treatment, a dental crown can often be the most reliable way to restore strength and appearance. At Clinic for Implant & Orthodontic Dentistry in Worthing, we provide crowns designed to look natural and function comfortably, with careful planning so the bite feels right.

A crown is a “cap” that covers a tooth to protect it and rebuild its shape. Unlike a filling, a crown wraps around the tooth, which can make it a better option when there isn’t enough healthy tooth structure left to support a larger restoration.

When is a crown recommended?

A crown may be advised if you have:

A broken or cracked tooth

A large filling that keeps failing or the tooth is now weak

A tooth that has had root canal treatment (often more brittle afterwards)

Severe wear from grinding/clenching

A tooth that is heavily discoloured or misshapen and you want a longer-lasting cosmetic result

A dental implant (implants are restored with crowns)

If you’re unsure, an examination (and X-rays if needed) lets us confirm whether a crown is the best option or whether a filling/onlay might be more suitable.

Types of crowns (and what they’re best for)

Zirconia crowns Very strong and highly aesthetic. Often a good choice for back teeth and many front teeth where durability matters.

Porcelain (ceramic) crowns Excellent aesthetics, commonly used for front teeth. The best material depends on your bite and how much tooth shows when you smile.

Porcelain-fused-to-metal (PFM) Strong and reliable. Sometimes used where extra strength is needed, although a metal edge can occasionally show if gums recede.

Gold/metal crowns Very durable and kind to the opposing tooth. Usually chosen for back teeth where appearance is less important.

We’ll recommend the material based on the tooth position, your bite, any grinding habits, and the look you want.

How the crown process works (step-by-step)

  1. Assessment and planning We examine the tooth, check the bite, and may take X-rays. If the tooth has decay, cracks, or gum issues, we address these first.

  2. Tooth preparation A small amount of tooth is shaped so the crown can fit properly. We take a digital scan or impression and select a shade to match your other teeth.

  3. Temporary crown (if needed) Many cases have a temporary crown to protect the tooth while the final crown is made.

  4. Fit appointment We try in the crown, check the margins, contact points, and bite, then cement it. The aim is a comfortable fit that feels natural when chewing.

Does getting a crown hurt?

Most patients find it very manageable. We use local anaesthetic so the preparation is comfortable. You may have mild sensitivity for a short period afterwards, especially to cold, but it usually settles. If you grind your teeth, we may recommend a night guard to protect the crown and other teeth.

How long do crowns last?

With good oral hygiene and regular check-ups, crowns can last many years. Longevity depends on:

How well the bite is controlled

Whether you grind/clench

The amount of healthy tooth underneath

Gum health and cleaning habits

Brushing twice daily with fluoride toothpaste, daily interdental cleaning, and routine hygiene visits all help crowns last longer.

Aftercare: what to do after a crown is fitted

Avoid very hard foods on that side for the first day if advised

If the bite feels “high” or uncomfortable, contact us — a quick adjustment can make a big difference

Keep brushing as normal and clean between teeth daily

If you grind your teeth, wear your night guard consistently

Typical costs (and how to get an exact quote)

Crown fees vary depending on material and complexity. We’ll give you a clear estimate after examining the tooth and discussing options. For current prices, please see our Fees page, or contact us and we’ll be happy to advise.

Frequently asked questions: Can a crown be done in one visit?

Most crowns take two visits (preparation + fitting). Some cases may be faster depending on the workflow and complexity.

Will the crown look natural?

Yes — we select a shade to match your teeth, and modern materials (especially ceramics/zirconia) can look very lifelike.

What if my crown comes off?

Keep the crown safe and contact us. Often it can be re-cemented if it’s intact and the tooth underneath is healthy.

Is a crown better than a filling?

If a tooth is heavily filled or structurally weak, a crown can be more protective. If the tooth is only moderately damaged, an onlay or filling may be enough.

Do I need a crown after root canal?

Not always, but many root-treated back teeth benefit from a crown due to increased risk of fracture.

What if I’m nervous?

Let us know — we’ll take it step-by-step and explain each stage clearly.

Book an appointment

If you think you may need a crown (or you’ve been told you need one and would like a second opinion), contact Clinic for Implant & Orthodontic Dentistry, Worthing. We’ll assess the tooth, discuss options, and provide a clear treatment plan and estimate.

Read More